Opalescence diş beyazlatma ürünleri profesyonel kullanım içindir ve yalnızca diş hekimleri aracılığı ile sunulmaktadır.

Opalescence Boost

Ofis Tipi Diş Beyazlatma ile Anında Sonuçlar

Opalescence Boost profesyonel diş beyazlatma, diş kliniğinde size hızlı bir şekilde beyaz bir gülüş sunmak için diş hekiminiz tarafından uygulanır! Kimyasal olarak aktive edildiği için sıcak veya rahatsız edici LED diş beyazlatma ışıklarına gerek yoktur ve yalnızca iki veya üç 20 dakikalık uygulamayla daha ışıltılı bir gülümsemeye sahip olursunuz.

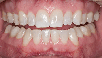
  • Opalescence diş beyazlatma sistemi öncesi
  • Opalescence diş beyazlatma sistemi sonrası
Önce
Sonra

Öncesini görmek için kaydırıcıyı sağa, Opalescence Boost diş beyazlatmanın sunduğu mükemmel sonuçları görmek için sola hareket ettirin!

Opalescence Boost
Diş Beyazlatma Özellikleri:

Opalescence Ürünleri
  • Eğitimli bir diş hekimi tarafından diş kliniğinde uzman uygulaması
  • Kimyasal olarak aktive edilen beyazlatma, bu demek oluyor ki sıcak, rahatsız edici LED diş beyazlatma ışıklarına ihtiyaç duyulmaz
  • Uygulama yapılacak kişinin konforu için diş beyazlatma jelinde potasyum nitrat ve florid bulunur
  • Yaklaşık bir saat içinde gözle görülür beyazlatma sonuçları
  • Diş kliniğinden çıkar çıkmaz ışıldayan beyaz bir gülümseme
  • Vegan—hayvansal ürün içermez
  • Gluten free (glütensiz) sertifikalı
Glütensiz

Opalescence Boost Diş Beyazlatmadan
Neler Beklenir

Opalescence Boost Nasıl Kullanılır - Video
Opalescence Boost Model

Opalescence Boost Diş Beyazlatma Adım Adım Kılavuz

1
Opalescence Boost Step-1

1. Dişlerinizden başlangıç renk tonu alınacaktır.

2
Opalescence Boost Step-2

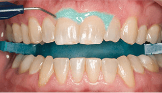
2. Diş beyazlatma jelinin diş etlerinizi tahriş etmesini önlemek için koruyucu bir bariyer kullanılacaktır.

3
Opalescence Boost Step-3

3. Diş hekiminiz Opalescence Boost diş beyazlatma jelini nazik bir uçla uygulayacaktır.

4
Opalescence Boost Step-4

4. Yaklaşık bir saat içinde sonuçları göreceksiniz!

Daha fazla bilgi için bir diş hekimine danışın.

Diğer Beyazlatma Seçenekleri